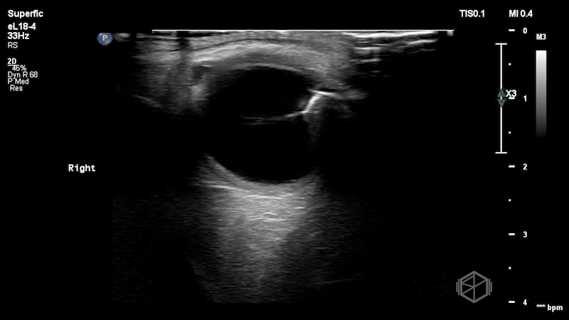
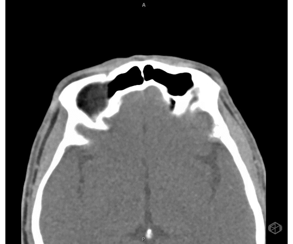
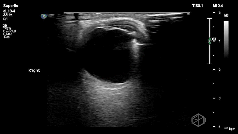
Eye Spy: POCUS Uncovers a Hidden Metallic Foreign Body

References

  1. Alsulami RR, Almutairi JA, Almatrafi MI, Othman BS. Expanding Ocular Care in the Emergency Department: A Comprehensive Review of the Utility of Point-of-Care Ultrasound for Ocular Emergencies. Cureus. 2024;16(11):e74548. doi:10.7759/cureus.74548

  2. Minhaz AT, Orge FH, Wilson DL, Bayat M. Assessment of intraocular foreign body using high resolution 3D ultrasound imaging. Sci Rep. 2024;14(1):12011. doi:10.1038/s41598-024-62362-y

  3. Patel SN, Langer PD, Zarbin MA, Bhagat N. Diagnostic value of clinical examination and radiographic imaging in identification of intraocular foreign bodies in open globe injury. Eur J Ophthalmol. 2012;22(2):259-268. doi:10.5301/EJO.2011.8347

  4. Propst SL, Kirschner JM, Strachan CC, et al. Ocular Point-of-Care Ultrasonography to Diagnose Posterior Chamber Abnormalities: A Systematic Review and Meta-analysis. JAMA Netw Open. 2020;3(2):e1921460. doi:10.1001/jamanetworkopen.2019.21460

  5. Sargsyan AE, Dulchavsky AG, Adams J, Melton S, Hamilton DR, Dulchavsky SA. Ultrasound detection of simulated intra-ocular foreign bodies by minimally trained personnel. Aviat Space Environ Med. 2008;79(1):58-61. doi:10.3357/asem.2191.2008

  6. Skidmore C, Saurey T, Ferre RM, Rodriguez-Brizuela R, Spaulding J, Lundgreen Mason N. A Narrative Review of Common Uses of Ophthalmic Ultrasound in Emergency Medicine. J Emerg Med. 2021;60(1):80-89. doi:10.1016/j.jemermed.2020.08.003

  7. Wang K, Liu J, Chen M. Role of B-scan ultrasonography in the localization of intraocular foreign bodies in the anterior segment: a report of three cases. BMC Ophthalmol. 2015;15:102. doi:10.1186/s12886-015-0076-1

Previous
Previous

POCUS to the Rescue: Spotting Ischemic Gut in Time

Next
Next

POCUS for Vascular Access