0
Skip to Content
Abdominal
Aorta
Appendix
Biliary
Cardiac
Early Obstetric
FAST/FAFF
Lung
Musculoskeletal
Ocular
Pediatrics
Procedural
Renal
Soft Tissue
Scrotal
Vascular-DVT
Vascular
About
SonoProps
Abdominal
Aorta
Appendix
Biliary
Cardiac
Early Obstetric
FAST/FAFF
Lung
Musculoskeletal
Ocular
Pediatrics
Procedural
Renal
Soft Tissue
Scrotal
Vascular-DVT
Vascular
About
SonoProps
Folder: Categories
Back
Abdominal
Aorta
Appendix
Biliary
Cardiac
Early Obstetric
FAST/FAFF
Lung
Musculoskeletal
Ocular
Pediatrics
Procedural
Renal
Soft Tissue
Scrotal
Vascular-DVT
Vascular
About
April SonoProps
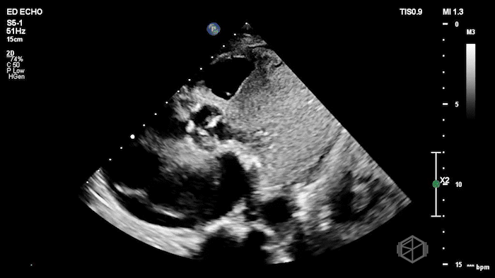
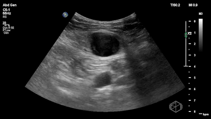
Early Obstetric, Cardiac, FAST/FAFF Yash Chavda, DO, MBA 4/15/26 Early Obstetric, Cardiac, FAST/FAFF Yash Chavda, DO, MBA 4/15/26

April SonoProps

A woman with abdominal pain, and a woman with increased work of breathing.

Read More
March SonoProps
Vascular-DVT, Musculoskeletal Yash Chavda, DO, MBA 3/15/26 Vascular-DVT, Musculoskeletal Yash Chavda, DO, MBA 3/15/26

March SonoProps

A man with left lower quadrant abdominal pain, and a woman with tachycardia and hypotension..

Read More
February SonoProps
Abdominal, Pediatrics, Lung Yash Chavda, DO, MBA 2/15/26 Abdominal, Pediatrics, Lung Yash Chavda, DO, MBA 2/15/26

February SonoProps

A boy with nausea, vomiting, abdominal pain, and a man with an accidental fall and chest wall injury.

Read More
January 2026 SonoProps
Aorta, Cardiac Yash Chavda, DO, MBA 1/15/26 Aorta, Cardiac Yash Chavda, DO, MBA 1/15/26

January 2026 SonoProps

A young man with chest pain, near syncope, and a older female with anxiety.

Read More
December SonoProps
Cardiac, Biliary Yash Chavda, DO, MBA 12/15/25 Cardiac, Biliary Yash Chavda, DO, MBA 12/15/25

December SonoProps

A woman with hypotension and a man with generalized abdominal pain.

Read More
2025 Honorable Mentions
Yash Chavda, DO, MBA 12/15/25 Yash Chavda, DO, MBA 12/15/25

2025 Honorable Mentions

2025 was filled with some great scans. Here are some great examples!

Read More
November SonoProps
FAST/FAFF, Non-Obstetric Gynecologic Yash Chavda, DO, MBA 11/15/25 FAST/FAFF, Non-Obstetric Gynecologic Yash Chavda, DO, MBA 11/15/25

November SonoProps

A woman with abdominal distention and a woman with abdominal pain and CVA tenderness…

Read More
October SonoProps
Ocular, Cardiac Yash Chavda, DO, MBA 10/15/25 Ocular, Cardiac Yash Chavda, DO, MBA 10/15/25

October SonoProps

A woman with headache and a woman with chest pain.

Read More
September SonoProps
Aorta, Biliary Yash Chavda, DO, MBA 9/15/25 Aorta, Biliary Yash Chavda, DO, MBA 9/15/25

September SonoProps

A woman with left lower quadrant abdominal pain; and a man with epigastric and right upper quadrant abdominal pain.

Read More
August SonoProps
FAST/FAFF, Renal Yash Chavda, DO, MBA 8/15/25 FAST/FAFF, Renal Yash Chavda, DO, MBA 8/15/25

August SonoProps

A woman with abdominal pain, a man with flank pain….

Read More
July SonoProps
Ocular, Musculoskeletal Yash Chavda, DO, MBA 7/15/25 Ocular, Musculoskeletal Yash Chavda, DO, MBA 7/15/25

July SonoProps

A woman with right knee pain, a man with vision changes…

Read More
June SonoProps
Abdominal, Non-Obstetric Gynecologic Yash Chavda, DO, MBA 6/15/25 Abdominal, Non-Obstetric Gynecologic Yash Chavda, DO, MBA 6/15/25

June SonoProps

Two women with abdominal pain, very different diagnoses…

Read More
May SonoProps
Vascular-DVT, Cardiac Yash Chavda, DO, MBA 5/15/25 Vascular-DVT, Cardiac Yash Chavda, DO, MBA 5/15/25

May SonoProps

A woman with chest pain, and a man with arm pain.

Read More
April SonoProps
Ocular, Cardiac Yash Chavda, DO, MBA 4/15/25 Ocular, Cardiac Yash Chavda, DO, MBA 4/15/25

April SonoProps

A man with sudden painless vision loss, and a woman with shortness of breath.

Read More
March SonoProps
Vascular, Ocular Yash Chavda, DO, MBA 3/15/25 Vascular, Ocular Yash Chavda, DO, MBA 3/15/25

March SonoProps

A woman with accidental fall and eye trauma, and a man with right upper extremity pain.

Read More
February SonoProps
Cardiac, Biliary Yash Chavda, DO, MBA 2/14/25 Cardiac, Biliary Yash Chavda, DO, MBA 2/14/25

February SonoProps

A man with shortness of breath and leg swelling and a woman with abdominal pain.

Read More
January SonoProps
Cardiac, Early Obstetric Yash Chavda, DO, MBA 1/15/25 Cardiac, Early Obstetric Yash Chavda, DO, MBA 1/15/25

January SonoProps

A woman with shortness of breath and a woman with vaginal bleeding.

Read More
December SonoProps
FAST/FAFF, Abdominal, Aorta Yash Chavda, DO, MBA 12/15/24 FAST/FAFF, Abdominal, Aorta Yash Chavda, DO, MBA 12/15/24

December SonoProps

A woman with left flank pain, and a man with shortness of breath and a “lacy stomach.”

Read More
2024 Honorable Mentions
Yash Chavda, DO, MBA 11/15/24 Yash Chavda, DO, MBA 11/15/24

2024 Honorable Mentions

2024 was filled with some great scans. Here are some great examples!

Read More
November SonoProps
Renal, FAST/FAFF Yash Chavda, DO, MBA 11/15/24 Renal, FAST/FAFF Yash Chavda, DO, MBA 11/15/24

November SonoProps

Pre-holiday troubles - a man who fell while decorating, and a man who got flank pain while delivering holiday packages.

Read More
Older Posts
No results found

SonoProps

About

© SonoProps 2025