December SonoProps

Happy holidays everyone!

Our first SonoProps goes to Dr. Eytan Mendelow.

In addition to him getting this SonoProps this month — I am extremely proud to recognize Dr. Mendelow for achieving an outstanding milestone of 1,000 scans. Dr. Mendelow is our second resident to reach this remarkable accomplishment, reflecting a high level of dedication, consistency, and commitment to clinical excellence. He approaches POCUS with genuine enthusiasm, routinely performing high-quality scans and demonstrating a strong willingness to learn, grow, and continually improve his skills. This milestone is a testament to his work ethic and passion for POCUS, and I look forward to seeing his continued impact in the emergency department.

Dr. Mendelow was scanning a late 50’s female with a history of hypertension, diabetes, ESRD on dialysis, A-fib on Eliquis, hypothyroidism who presented with hypotension and generalized fatigue after her dialysis session. Blood pressure on arrival was 80's/50’s. Easy - sepsis 30cc/kg of fluids and admit the patient right? Not so fast…

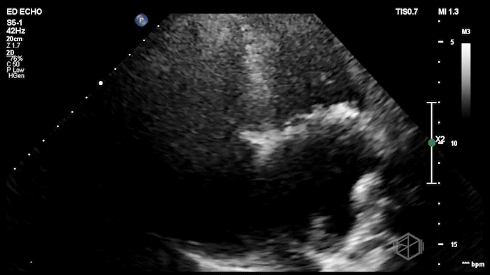
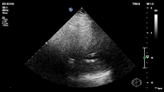
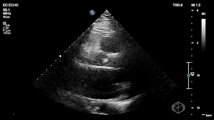
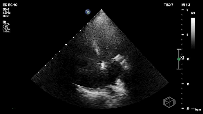
Here is the POCUS:

The POCUS shows a probably borderline LV systolic function. There is significant mitral valve calcification present. There is a mobile echodensity present near the mitral valve. On the color doppler there is severe mitral regurgitation.

In the ED, markedly elevated troponin (~42,000) and BNP 1520. Cardiology TTE revealed a 1.4 × 0.7 cm mobile echodensity on the mitral valve, concerning for papillary muscle or chordal rupture, with differential also including flail leaflet vs. vegetation, in the setting of wall motion abnormalities. The patient had a cath that showed severe triple-vessel CAD, prompting IABP placement and ICU admission. TEE confirmed severe MR due to chordal rupture with preserved LV function. She eventually did get a mitral valve replacement, but had a complex course and ultimately was made comfort care.

Diagnosis: Chordal rupture, acute severe mitral regurgitation

Learning points:

  • A mobile echodensity near the mitral valve is a description, not a diagnosis, but often that is what we start with.

    • A POCUS showing a mitral-adjacent mobile echodensity should immediately trigger a short differential:

      • Ruptured chordae / flail leaflet

      • Papillary muscle rupture fragment

      • Infective endocarditis vegetation

      • Nonbacterial thrombotic endocarditis / thrombus

      • Papillary fibroelastoma

      • Lambl’s excrescences

    • Context matters. Acute MR severity, wall motion abnormalities, fever/bacteremia, embolic findings, and shock physiology can help narrow the differential. TEE can lead to the diagnosis. (📚 PMID: 37520139, 15901304)

  • Papillary muscle rupture ≠ chordal rupture

    • Papillary muscle rupture = failure at the muscle itself, classically post-MI.

      • The posteromedial papillary muscle supplies chordae to both leaflets and has a single blood supply — making it especially vulnerable. This can cause sudden, catastrophic MR and shock. (📚 PMID: 34637518, 12647646)

    • Chordal rupture = failure of the “strings.”

      • This produces a flail leaflet segment, is often more localized, and may preserve papillary continuity.

  • The patient may have preserved looking EF, but they are in cardiogenic shock.

    • In acute severe MR, the LV may appear normal or even hyperdynamic because it’s ejecting into a low-impedance left atrium.

    • The problem is forward flow, not contractility. Effective cardiac output can be critically low, leading to hypotension, pulmonary edema, and shock despite a normal appearing squeeze. (📚 PMID: 37530859)

  • Acute severe MR is a mechanical problem until proven otherwise; it is most often caused by abrupt structural disruption of the mitral valve apparatus, such as papillary muscle rupture, chordae tendineae rupture, or leaflet destruction. (📚 PMID: 40237656, 37414917)

    • This is not a fluids-first diagnosis. These patients should not get large volume resuscitation as it can worsen pulmonary edema and LA pressures. If the patient is hypotensive, do the POCUS to look at the squeeze and be suspicious if you see strange masses or findings, color doppler can help.

  • Think in terms of afterload, not preload (📚 PMID: 37312239).

    • Afterload reduction improves forward flow and reduces regurgitant fraction.

    • If blood pressure allows, start vasodilators (e.g., nitroglycerin infusion).

    • If hypotensive, consider inotropes with afterload reduction rather than pure pressors.

    • Pure afterload-raising pressors can worsen MR physiology.

  • Early cardiology + cardiothoracic surgery involvement is critical.

    • Definitive treatment is mechanical:

      • Urgent TEE

      • Revascularization if ischemic

      • Valve repair/replacement

      • Mechanical support (IABP, Impella, ECMO) as a bridge when needed

      • IABP can be particularly helpful by reducing afterload and improving coronary perfusion in acute MR.

  • POCUS changes the trajectory. Identifying severe MR + flail/chordal pathology at the bedside:

    • Prevents inappropriate fluid loading

    • Helped identify shock as cardiogenic

    • Accelerated cath lab / ICU / surgical pathways

  • This is a classic example of POCUS altering diagnosis, management, and outcome.

 

The next SonoProps goes to Dr. Khadija Malik and Dr. Nina Vazquez! Great job.

Dr.’s Malik and Vazquez were on their US rotation and were scanning a early 60’s male with a history of coronary artery disease s/p CABG, hyperlipidemia, obstructive sleep apnea, and Barrett’s esophagus, with no prior abdominal surgeries, who had presented with diffuse abdominal pain one day after a routine outpatient endoscopy the prior day.

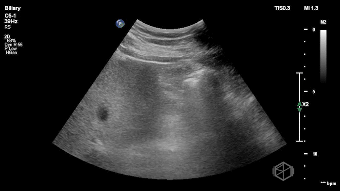
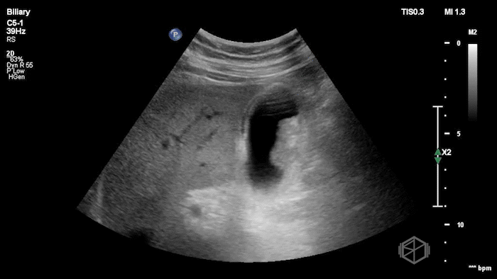
Their POCUS is below:

The POCUS demonstrated a thickened, edematous gallbladder wall with tumefactive sludge and gallstones, concerning for acute cholecystitis, though an underlying mass could not be excluded. A CT scan was obtained, which showed a layering gallstone versus gallbladder polyp, gallbladder wall edema, and possible pericholecystic fluid.

Surgery was consulted and recommended a radiology ultrasound, which predictably reported findings similar to the initial POCUS examination: gallbladder neoplasm versus tumefactive sludge versus non-calcified gallstones, with gallbladder wall edema concerning for acute cholecystitis. The radiology read recommended further evaluation with MRCP, which ultimately demonstrated findings consistent with acute cholecystitis without evidence of malignancy.

Diagnosis: Acute cholecystitis, tumefactive sludge

Learning points:

  • Tumefactive sludge represents inspissated bile with high particulate content, forming a mass-like collection rather than layering sludge. It is uncommon and most often seen in patients with biliary stasis, inflammation, or critical illness. (📚 PMID: 30065529, 6981933)

  • Tumefactive sludge appears as a non-shadowing, echogenic, mass-like lesion within the gallbladder lumen, often lacking posterior acoustic shadowing and internal vascularity.

  • Unlike simple sludge, tumefactive sludge may not layer dependently or move with patient repositioning, increasing concern for polyp or neoplasm.

  • Color Doppler can be helpful, as tumefactive sludge typically demonstrates no internal flow, whereas true neoplasms may show vascularity. (📚 PMID: 19687724)

  • Tumefactive sludge has been associated with malignancy. A large retrospective cohort study of over 100,000 abdominal ultrasounds found tumefactive gallbladder sludge to be rare (~0.1%); however, among identified cases, approximately 14% were malignant on follow-up, underscoring that malignancy cannot be excluded based on ultrasound alone. (📚 PMID: 27846377)

  • When gallbladder malignancy is part of the differential, MRCP provides superior soft-tissue characterization and ductal evaluation compared to CT or ultrasound alone. (📚 PMID: 19687724)

  • Reliance on a single static image increases misinterpretation — dynamic scanning, patient repositioning, and multiple views are essential when evaluating suspected sludge.

  • POCUS is an appropriate first-line imaging modality for suspected biliary pathology, and atypical findings (such as tumefactive sludge or concern for malignancy) should prompt selective escalation to advanced imaging rather than reflexive duplication of ultrasound studies. (📚 PMID: 38037062, SonoProps Sep 2025)

Previous
Previous

January 2026 SonoProps

Next
Next

2025 Honorable Mentions