2025 Honorable Mentions

2025 was an incredible year! Since there can only be two SonoProps winners each month, we wanted to highlight some well-deserved honorable mentions — and there were even more than this!

Just like before, this will be quiz-style. The team member who submits the most correct answers by January 1, 2026 will win a prize. Please send your answers to me via email, and remember to use all available information in the image.

Good luck! 🎉

Jan 2026 — now with answers!

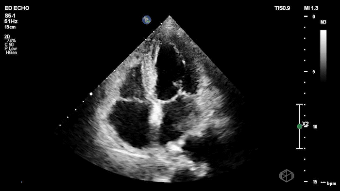
01 - What is the concerning finding and what is the differential?

Mitral valve mobile echogenic mass concerning for endocarditis, patient found to have MV endocarditis.

02 - What is the name of this finding?

Wall-Echo-Shadow (WES) sign

03 - What is the diagnosis and what other procedure was the patient undergoing?

Non-occlusive DVT; patient was simultaneously getting a contrast echocardiogram. The whitish flow is due to ultrasound contrast.

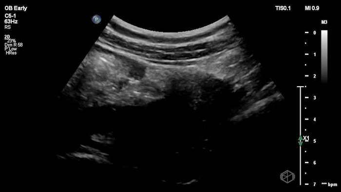
04 - What is the most likely diagnosis and definitive next step for this patient?

Left adnexal complex mass with significant free fluid concerning for ruptured ectopic pregnancy (OB Early setting).

05 - What is being examined and what is the diagnosis?

Phlebitis (no thrombus present to make it thrombophlebitis)

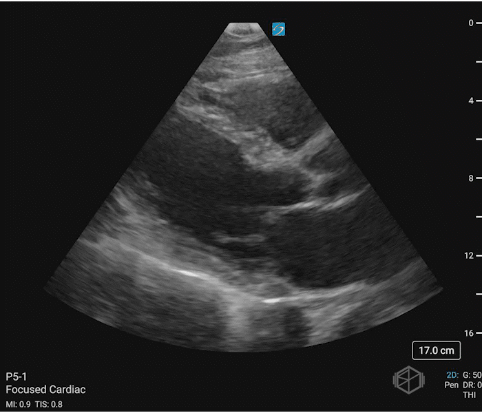
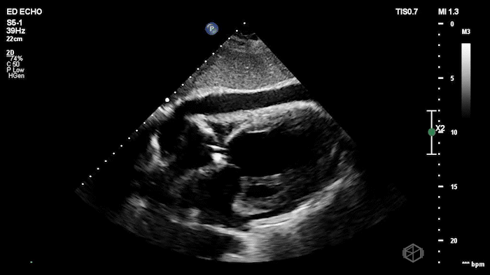
06 - What is the most important clinical finding in this scan?

RV diastolic collapse

07 - What is the reason this patient might be having vaginal bleeding?

Subchorionic hemorrhage

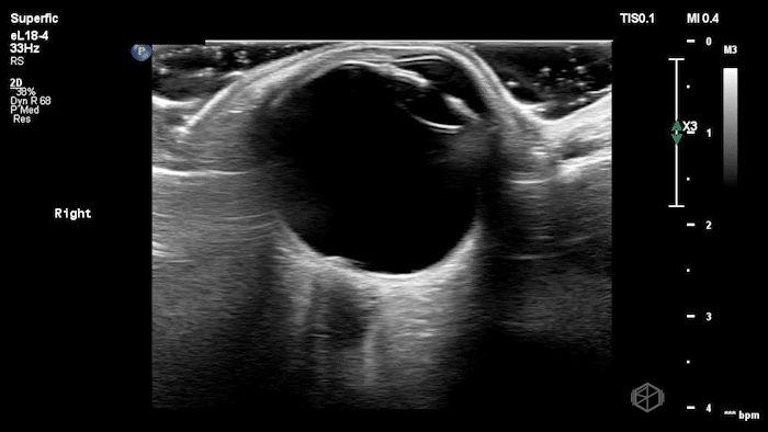
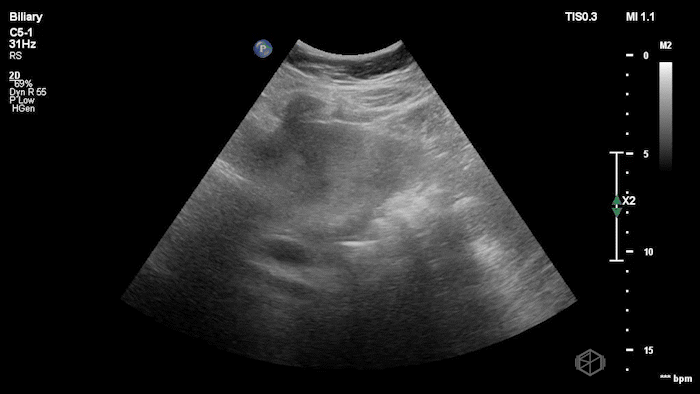
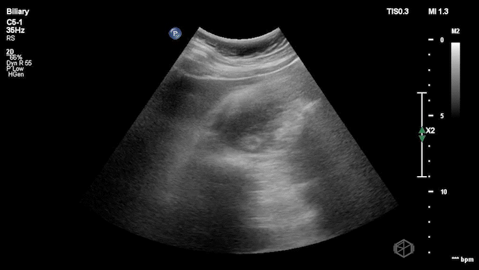
08 - What are the 6 signs of cholecystitis and what signs are visible here?

6 signs of cholecystitis — aGBW thickening >4mm, gallbladder wall edema, stone-in-neck (SIN) sign, pericholecystic fluid, hydropic gallbladder 10cm x 5cm, sonographic Murphy’s

Signs visible on this scan — SIN, hydropic gallbladder, gallbladder wall thickening

08A - The same patient above - what is the next procedure this patient needs and why?

ERCP - choledocholithiasis - stone present in bile duct.

09 - What is the diagnosis in this post-partum patient?

Retained products, large volume of intrauterine heterogenous material consistent with blood clots

09A - What procedure is the patient undergoing?

Manual vacuum aspiration - US guided; cooperation between OB and EM!

10 - What is the abnormal finding? Is it emergent yes or no?

Anechoic collection in cervix consistent with likely Nabothian cyst, correlated with prior scans. Not emergent.

11 - What is the diagnosis and definitive treatment?

Paronychia, I&D

12 - Pediatric patient with right lower quadrant pain only - what is the diagnosis?

Reactive abdominal wall lymph node in the RLQ

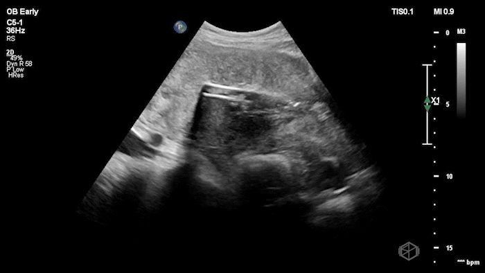
13 - What is the most likely type of twin pregnancy in this ultrasound?

Monochorionic diamniotic; monochorionic monoamniotic pregnancies are significantly rare, in this case there was a thin membrane between the two fetuses.

14 - What is the diagnosis?

Left UVJ Stone

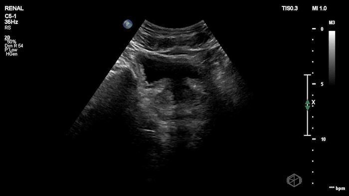
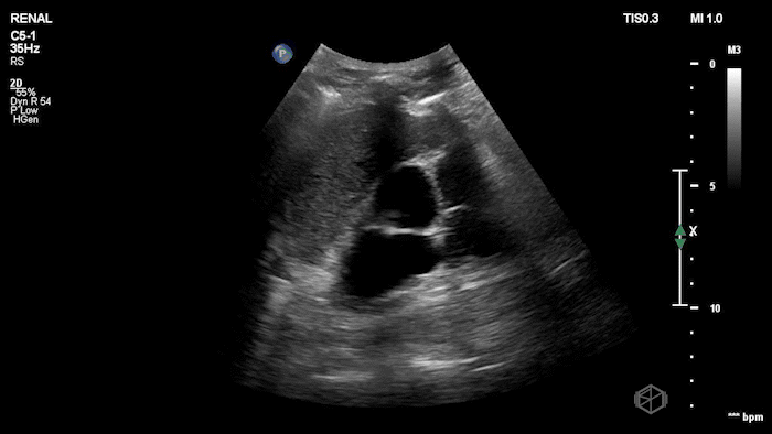
15 - What grade of hydronephrosis is this?

Severe hydronephrosis, cortical wall thinning is present.

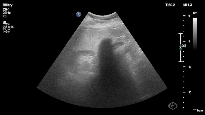
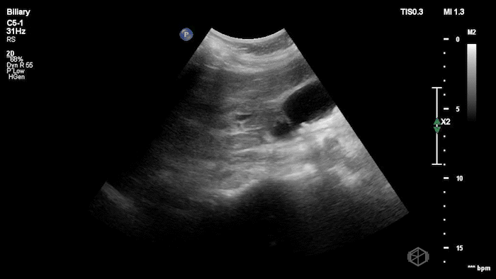
16 - What is the concerning finding?

Large mass near the neck of the gallbladder

16A - Same patient, what is the differential diagnosis for this finding?

Questionable stone-in-neck but, does not appear to be internal to the gallbladder; found to be gallbladder carcinoma.

17 - What is the abnormality?

Atrial septal aneurysm

18 - What is the most likely diagnosis for this patient?

Idiopathic intracranial hypertension — bilateral optic nerve dilation with papilledema.

19 - What is the ultrasound finding, and what are two differentials?

Abolished lung sliding with focal B-lines; pneumonia, malignancy.

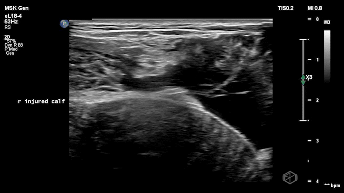
20 - What is the diagnosis?

Gastrocnemius tear

21 BONUS - What rhythm is this patient in?

Ventricular tachycardia.

Previous
Previous

December SonoProps

Next
Next

November SonoProps