April SonoProps

Spring is in the air and it’s getting warmer! Yay!

Our first SonoProps goes to Dr. Rachel Ariz and Dr. Christopher Scavelli.

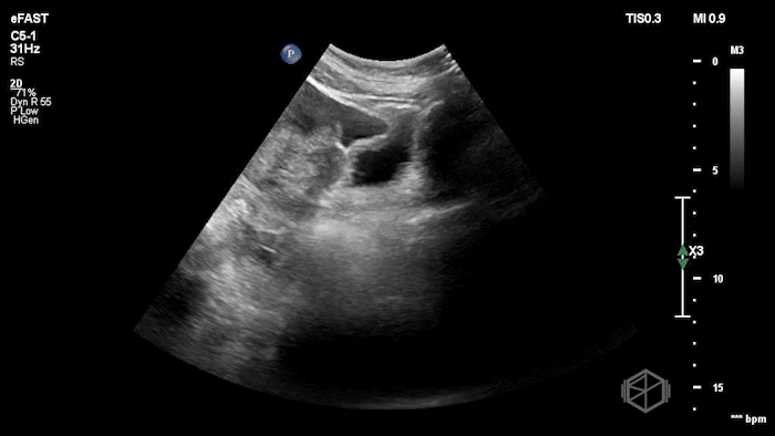
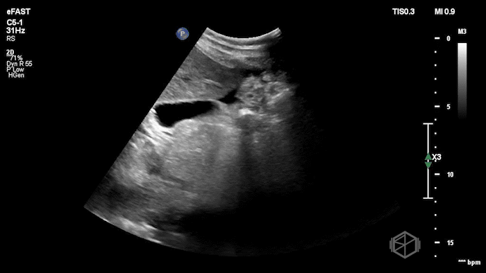
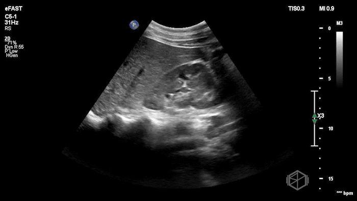
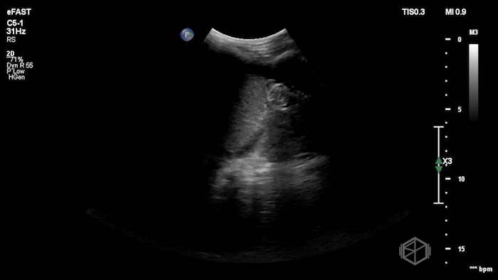
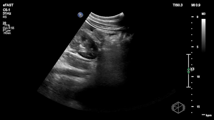
Drs. Ariz and Scavelli were caring for an approximately 40-year-old woman, G2P1, at approximately 8 weeks gestation, who presented to the ED with abdominal cramping. She was hypotensive on arrival, prompting the team to reach for the ultrasound immediately. They saw the following:

POCUS showed free fluid throughout the abdomen, including the RUQ, LUQ, and pelvis. The uterus was empty, and the final clip appears to show a complex left adnexal mass.

Diagnosis: Left ectopic pregnancy with hemoperitoneum

Learning Points:

  • Ectopic pregnancy is a time-critical diagnosis. POCUS shortens time to diagnosis and intervention. It is a major cause of first-trimester maternal morbidity and mortality, and delayed diagnosis contributes to preventable harm.

    (πŸ“š PMID: 18382705, 11282667)

  • POCUS allows immediate bedside risk stratification, particularly in unstable patients, and should be part of the initial evaluation in pregnant patients without a confirmed intrauterine pregnancy (IUP) presenting with abdominal pain, vaginal bleeding, syncope, or other concerning chief complaints. (πŸ“š ACEP)

  • ED POCUS is primarily a rule-in test for intrauterine pregnancy. A definitive IUP requires a yolk sac or fetal pole and, in most cases, effectively excludes ectopic pregnancy; rare exceptions include heterotopic pregnancy.

    (πŸ“š PMID: 19594975)

    • Absence of an IUP does not diagnose ectopic pregnancy. This is a pregnancy of unknown location and the differential includes early IUP, miscarriage, and ectopic pregnancy.

  • Free fluid is a critical finding.

    • Free fluid in Morison’s pouch is highly predictive of ruptured ectopic pregnancy and need for operative intervention, and should prompt immediate surgical consultation. (πŸ“š PMID: 17554008)

    • Pelvic free fluid is a concerning but non-specific finding. It has moderate sensitivity (~47%) and good specificity (~92%) for ectopic pregnancy. (πŸ“š PMID: 25766776)

    • An empty uterus alone is not diagnostic of ectopic pregnancy.
      Sensitivity ~81%, specificity ~79%.

    • An adnexal mass is one of the most important sonographic findings concerning for ectopic pregnancy.
      Sensitivity ~63%, specificity ~91%.

  • Transvaginal ultrasound remains the diagnostic standard. Reported performance varies by study and by the sonographic criterion used; older studies report TVUS sensitivity around 87–93%, with specificity ranging from the mid-90s to about 99%. (πŸ“š PMID: 9457934, 18382705, 21727242)

    • However, transvaginal ultrasound may not be immediately available and should not delay management in unstable patients.

  • POCUS plays a critical role in rapidly identifying hemoperitoneum and a surgical abdomen, expediting definitive management and reducing time to the operating room.

 

The next SonoProps goes to PA Kyu-ree Kim and Dr. Obioma Nkemakolam!
And a special shoutout to PA Kim, our first PA to receive the SonoProps award.

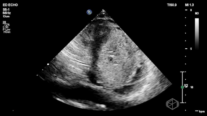
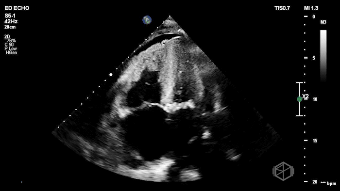
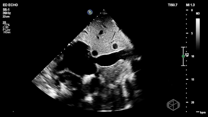
They were caring for an approximately 80-year-old woman with a complex medical history who presented from home with increased confusion and increased work of breathing. Her history included diastolic heart failure, asthma, prior CVA, diabetes, hypertension, hyperlipidemia, hypertrophic obstructive cardiomyopathy, pulmonary hypertension, osteoporosis, and vascular dementia (baseline GCS 14).

Their Cardiac POCUS showed:

POCUS showed marked left ventricular wall thickening, a dilated right ventricle, biatrial enlargement, a small LV cavity, and a small pericardial effusion. The left ventricular myocardium also had a mildly granular or β€œspeckled” appearance.

Diagnosis: Findings concerning for infiltrative cardiomyopathy (cardiac amyloidosis)

Learning Points:

  • Cardiac amyloidosis is an underrecognized cause of heart failure, especially in older adults, and often presents with nonspecific symptoms such as dyspnea, edema, syncope, or decompensated HFpEF. Early recognition matters because disease-specific therapies now exist. (πŸ“š PMID: 34720583)

  • POCUS does not diagnose cardiac amyloidosis, but it can identify a constellation of findings that should raise suspicion for an infiltrative cardiomyopathy and prompt additional evaluation. Emergency medicine literature also includes bedside-ultrasound case reports in which POCUS helped identify cardiac amyloidosis in the ED.

    (πŸ“š PMID: 36064258, 24567927, Wilkinson 2016)

  • Echocardiographic red flags for cardiac amyloidosis include: (πŸ“š NBK580521, ASE)

    • Increased ventricular wall thickness

    • A relatively small LV cavity

    • Bi-atrial enlargement

    • Progressive diastolic dysfunction or restrictive physiology

    • RV involvement

    • Small pericardial effusion

    • Sometimes a granular or β€œsparkling” myocardial appearance.

      • This texture is a supportive clue, but it is not specific for amyloidosis.

  • A thick ventricle on POCUS does not always mean hypertensive heart disease or hypertrophic cardiomyopathy. When ventricular thickening is accompanied by atrial enlargement, effusion, RV involvement, or heart-failure symptoms out of proportion to the apparent cavity size, infiltrative cardiomyopathy should be considered.

    (πŸ“š PMID: 34720583, 36064258, 24567927)

  • Preserved or even hyperdynamic systolic function does not exclude significant disease. Cardiac amyloidosis is primarily a disease of diastolic dysfunction and impaired filling. (πŸ“š PMID: 37558934)

  • If cardiac amyloidosis is suspected, expanded echocardiographic assessment is recommended. Strain imaging with apical sparing can provide an important clue when available, and bedside findings should prompt additional evaluation with monoclonal protein testing and subtype-directed imaging/workup. (πŸ“š PMID: 36064258)

Next
Next

March SonoProps