Nausea, vomiting, left upper quadrant pain: A POCUS case of gastric volvulus
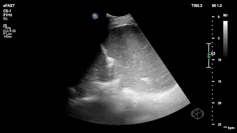
Left upper quadrant ultrasound demonstrating a hiatal hernia with stomach herniating through.
The stomach is swirling with food contents and is visible on both sides of the diaphragm.
CT scan showing marked distention of the stomach with a large hiatal hernia and gastric volvulus with obstruction of the gastroduodenal junction and lesser obstruction at the gastric body most likely representing an organoaxial gastric volvulus.
May Ali, DO
PGY-1, Emergency Medicine
Yash Chavda, DO, MBA, FAAEM
Clinical Assistant Professor
NYU Grossman Long Island School of Medicine
Director of Emergency Ultrasound
NYU Langone Hospital — Long Island
Christopher Caspers, MD, MBA
Clinical Professor
NYU Grossman Long Island School of Medicine
Chair, Department of Emergency Medicine
NYU Langone Hospital — Long Island
References
- Hassan A, Azhar A, Ullah A, et al. Gastric organoaxial volvulus: A lethal twist and a rare cause of acute abdomen. Radiol Case Rep. 2023;18(11):4076-4079. doi:10.1016/j.radcr.2023.08.012 
- Jakubowski J, Lizzi J, Hill T. Gastric Volvulus. Journal of Education and Teaching in Emergency Medicine. Published online July 1, 2019. doi:10.21980/J8335F 
- Matsuzaki Y, Asai M, Okura T, Tamura R. Ultrasonography of gastric volvulus: “peanut sign.” Intern Med. 2001;40(1):23-27. doi:10.2169/internalmedicine.40.23 
- Shokraneh K, Johnson J, Cabrera G, Kalivoda EJ. Emergency Physician-Performed Bedside Ultrasound of Gastric Volvulus. Cureus. 12(8):e9946. doi:10.7759/cureus.9946 
 
                         
               
              