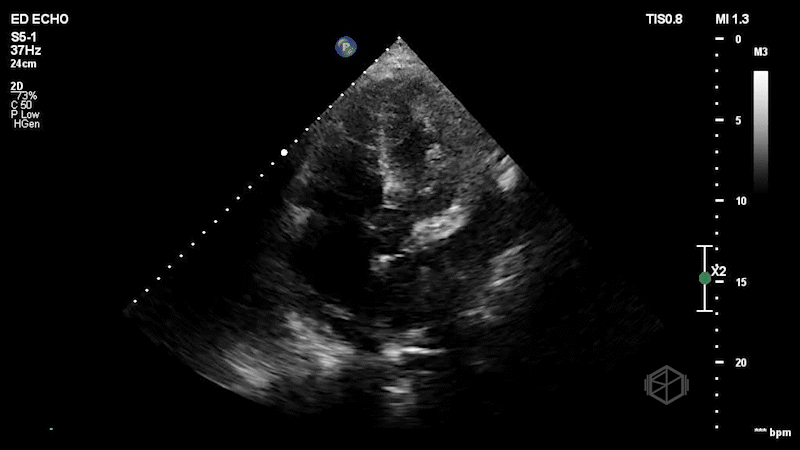
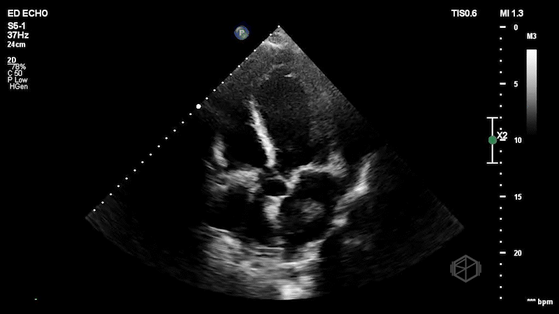
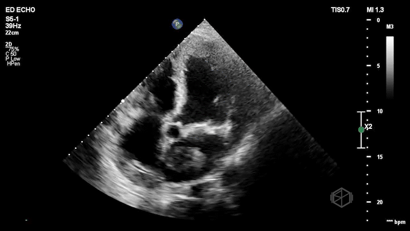
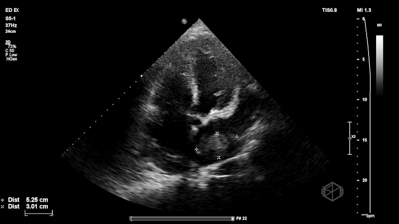
Generalized weakness with a surprising cardiac finding: a case of a left atrial mass
Rachel Ariz, DO, MS
PGY-1, Emergency Medicine
Frances Rusnack, DO
Assistant Program Director
Clinical Assistant Professor
Emergency Medicine Residency
NYU Grossman Long Island School of Medicine
Yash Chavda, DO, MBA, FAAEM
Clinical Assistant Professor
NYU Grossman Long Island School of Medicine
Director of Emergency Ultrasound
NYU Langone Hospital — Long Island
References
- Htwe KK, Aung TT. Diagnostic Challenges of a Mass in the Left Atrium. Cureus. 2020;12(6):e8620. doi:10.7759/cureus.8620 
- Bernheim A, Gore A, Goyal N. Evaluation of Incidental Cardiac Masses on Computed Tomography Imaging: An Algorithmic Approach. Journal of Thoracic Imaging. 2019;34(1):W1. doi:10.1097/RTI.0000000000000371 
- van der Rijst N, Sinha T, Rali P, Desai P, Iturra S, Ajmeri A. Left atrial mass found on cardiac ultrasound leading to emergent thrombectomy. Respiratory Medicine Case Reports. 2023;41:101800. doi:10.1016/j.rmcr.2022.101800 
- Krishnan G, Windross D, Punjani S, Brands C, Shimshak T. Left Atrial Masses: Now You See Them, Now You Don’t. Cureus. 2023;15(12):e50056. doi:10.7759/cureus.50056 
 
                         
                  
                    
                 
                  
                    
                 
                  
                    
                 
                  
                    
                