February SonoProps

Hello everyone, welcome to another edition of SonoProps!

The first SonoProps for this month goes to Dr. Nowshin Islam and Dr. Andrew Weinberger.

They were scanning a 2-year-old male with a history of gastritis who presented to the ED with multiple episodes of intermittent abdominal pain associated with non-bilious, non-bloody vomiting. There was no bleeding or diarrhea. Prior to the episodes he was able to eat and drink, but afterward had decreased appetite. His last bowel movement was the previous day.

On their scan they saw:

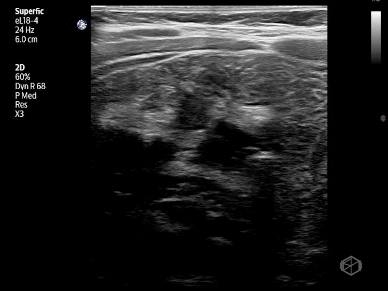
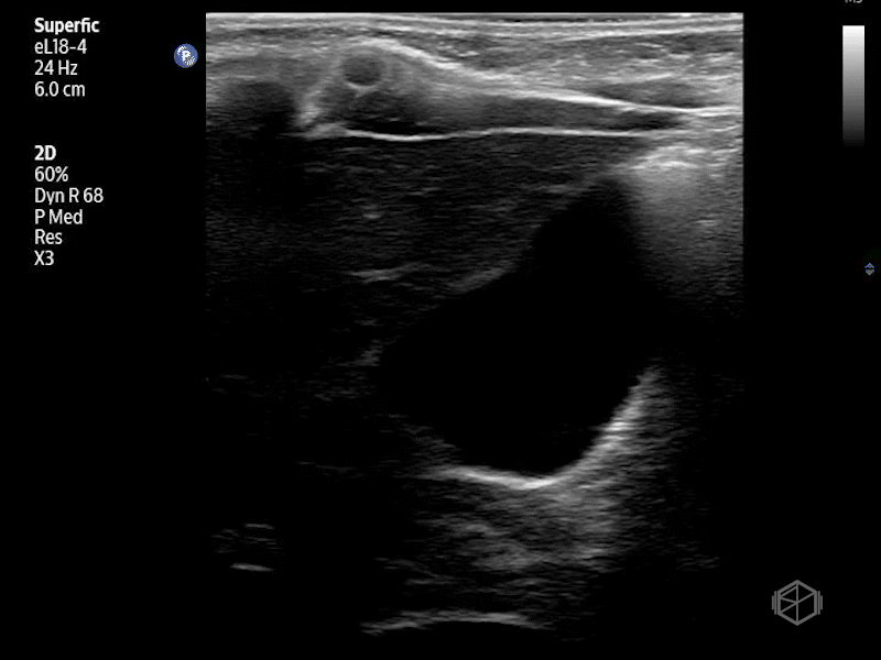
Bedside abdominal ultrasound revealed: A “target” (donut) like structure in the right upper quadrant on transverse view. Concentric hypoechoic and hyperechoic rings representing telescoped bowel. A “pseudokidney” sign on longitudinal view. Bowel-within-bowel configuration measuring >2cm in diameter. No obvious free fluid was noted.

Diagnosis: Ileo-colic intussusception

Learning Points:

  • Ileocolic intussusception should be suspected in toddlers (6 months–3 years) with intermittent, colicky abdominal pain and vomiting, even when the abdominal exam is benign between episodes. It remains one of the most common abdominal emergencies in early childhood (📚 PMID: 28144210).

  • Use a systematic scanning approach: begin in the right lower quadrant and sweep in both transverse and longitudinal planes. Always confirm findings in multiple planes to avoid common mimics.

  • The “target” (donut/bull’s-eye) sign on transverse view and the “pseudokidney” sign on longitudinal view are classic sonographic findings of ileocolic intussusception.

  • A bowel mass measuring >2-3 cm in diameter supports ileocolic intussusception and helps distinguish it from transient small bowel–small bowel intussusception. A target sign with a diameter of ≤ 2cm suggests a small bowel intussusception, which generally self-resolve, and rarely require reduction (📚 PMID: 15467415).

  • POCUS performed by trained emergency physicians demonstrates high sensitivity and specificity, allowing rapid diagnosis and expedited management. (📚 PMID: 35749802, 32284038, 33483198)

  • Early bedside ultrasound can reduce time to definitive treatment and should be considered in any young child with unexplained episodic abdominal pain. (📚 PMID: 32726276)

  • The classic triad (abdominal pain, palpable mass, currant jelly stools) is uncommon — absence of these findings does not exclude intussusception. Early POCUS identifies atypical or early presentations (📚 PMID: 19018227, 28144210).

 

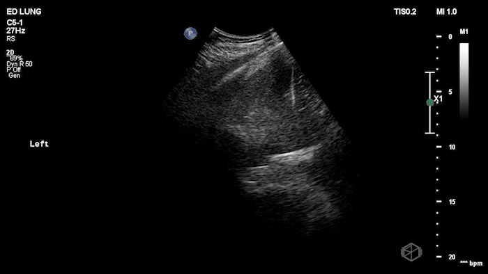
The next SonoProps goes to Dr. Jaspreet Kaur and Dr. Obioma Nkemakolam. They were scanning a late 80s male with a mechanical fall in the shower onto his left side, with significant left-sided ecchymosis. He was taking Xarelto. He was initially placed in a stable area of the ED. Dr. Kaur and Dr. Nkemakolam scanned the patient and found him to have the following clips:

The scan shows echogenic dependent pleural fluid above the diaphragm on the affected side. Fluid layering in a gravity-dependent region (posterior/lateral chest) consistent with pleural effusion in trauma = hemothorax until proven otherwise in a patient with no prior history of pleural effusions. The patient had normal lung sliding bilaterally indicating no pneumothorax. He was found to have 6 rib fractures on CT, but was otherwise stable and pain controlled, saturating well on room air.

Diagnosis: Left hemothorax with multiple rib fractures

Learning Points:

  • Pleural fluid on trauma ultrasound = suspect hemothorax in the right clinical setting in a patient without known history of pleural effusions. Thoracic ultrasound as part of the primary survey can rapidly identify hemothorax. (📚 PMID: 14734374)

  • Acute hemothorax may appear anechoic, particularly early after bleeding. Sonographic appearance alone does not exclude blood in the pleural space.

  • Homogeneously echogenic pleural fluid suggests a hemorrhagic or otherwise complex effusion due to increased cellular/protein content. (📚 PMID: 26218493)

  • The presence of internal echoes, swirling debris, or fibrin strands within pleural fluid indicates a complex effusion, which in the trauma setting supports hemothorax rather than simple serous fluid. (📚 PMID: 24626263)

  • Clotted blood may produce a layered or heterogeneous appearance, and evolving hemothorax can become increasingly complex over time (PMID: 35984158)

  • Bedside thoracic ultrasound is at least comparable to initial chest radiography for detecting hemothorax in trauma patients and may speed diagnosis and management. (📚 PMID: 9055768)

  • Systematic reviews support chest ultrasound as an accurate diagnostic tool for traumatic hemothorax in adults. (📚 PMID: 29433802)

  • eFAST performance varies by setting and operator; a negative eFAST does not rule out thoracic injury, but a positive pleural fluid finding is highly actionable. (📚 PMID: 29146418)

  • In older adults with rib fractures/blunt chest trauma, hemothorax can progress or present in a delayed fashion over days—supporting careful return precautions and consideration of follow-up/serial imaging when clinical concern persists. (📚 PMID: 33768165)

Next
Next

January 2026 SonoProps